Endodontics
Oral Surgery
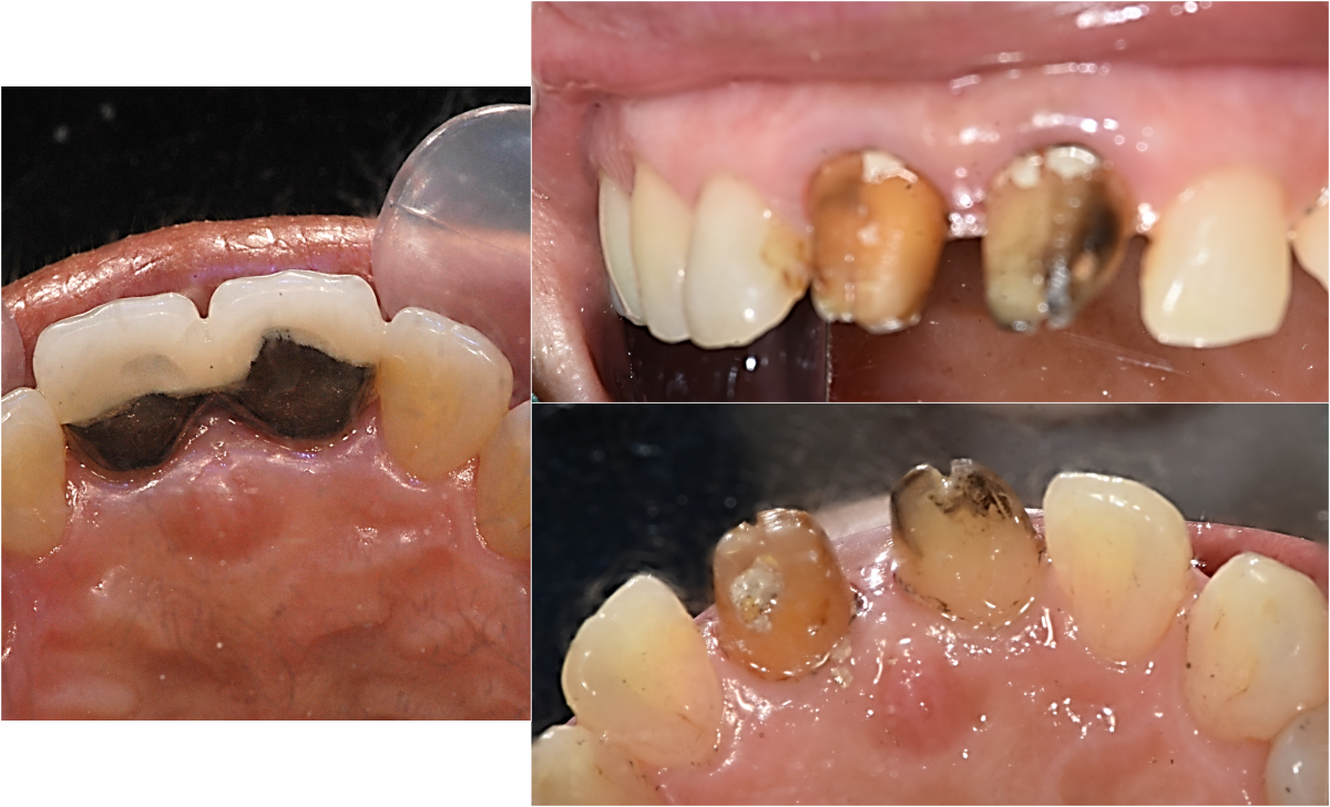
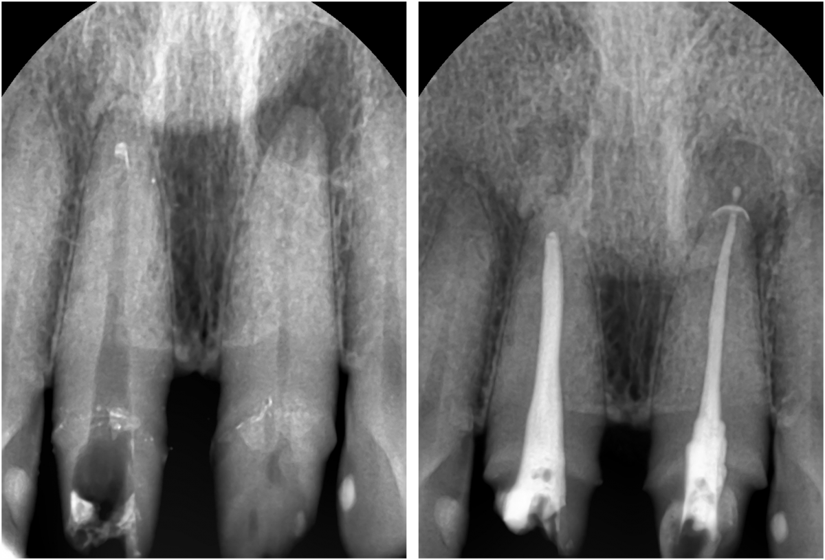
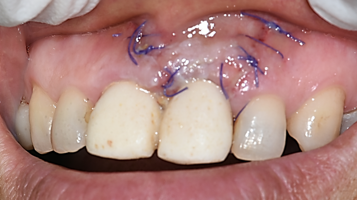
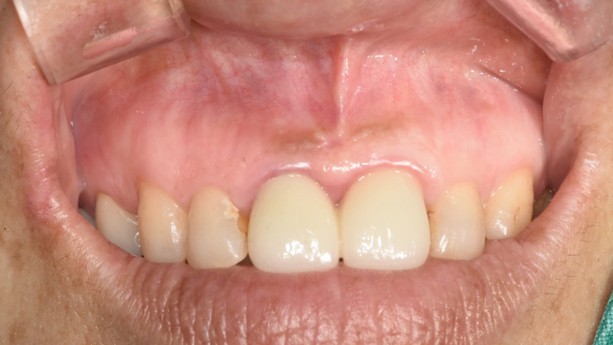
Apicorctomy /central incisor /GBR ; 6-year follow up.

HAPPYTOGETHER
Views : 10/ Oct, 18, 2025
Views : 10/ Oct, 18, 2025
<CJ SBN> Apicorctomy /central incisor /GBR ; 6-year follow up.









0
There are no registered comment.