Implantology
Dental Restoration
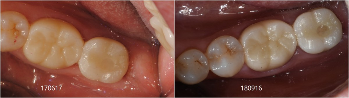
SIngle Implant - Immediate Placement, 8-year follow up

HAPPYTOGETHER
Views : 27/ Oct, 13, 2025
Views : 27/ Oct, 13, 2025
<CJ SBN> old female had mobility and pain when chewing in the lower molar










0
- PrevApicorctomy /central incisor /GBR ; 6-year follow up.Oct, 13, 2025
- NextAesthetic Restoration for the Anterior Crossbite Patient. Oct, 13, 2025
There are no registered comment.