Dental Restoration
Cosmetic Dentistry
Periodontics
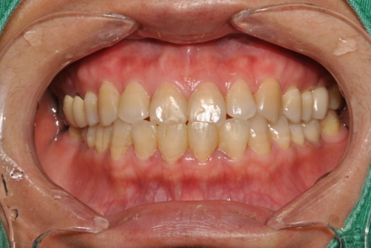
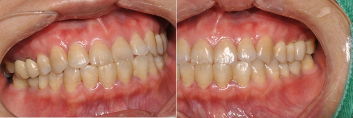
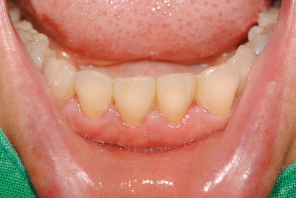
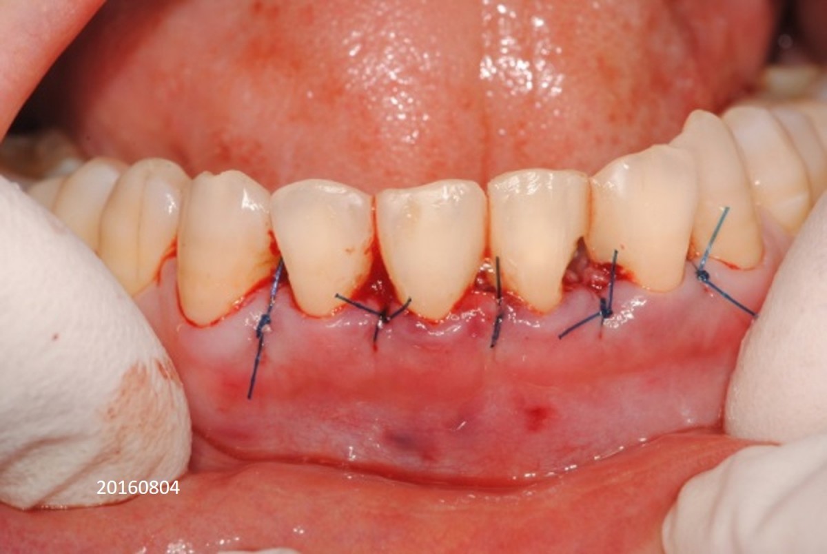
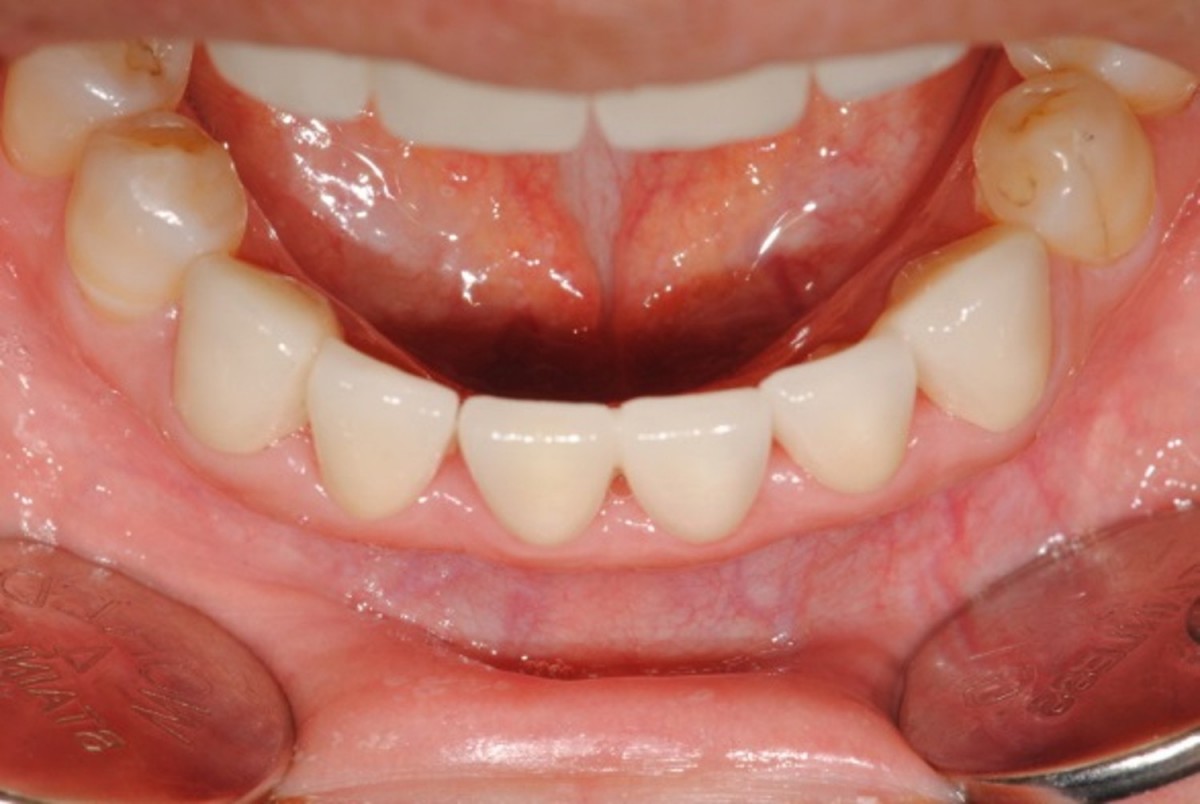
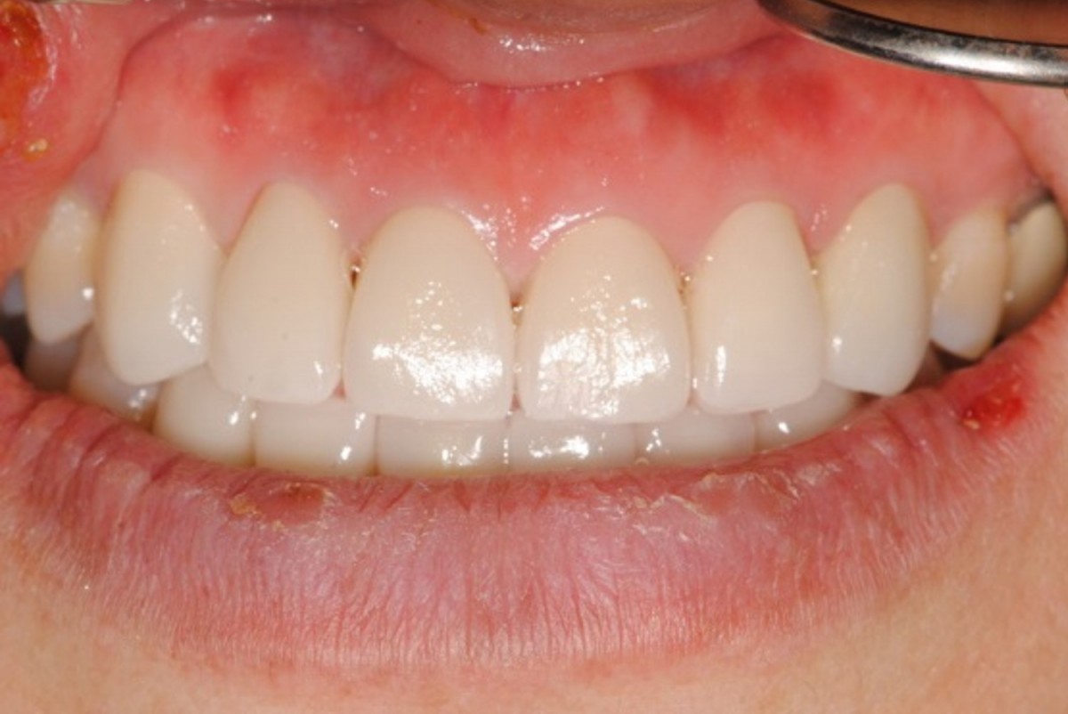
Aesthetic Restoration for the Anterior Crossbite Patient.

HAPPYTOGETHER
Views : 167/ Sep, 19, 2025
Views : 167/ Sep, 19, 2025
<CJ KCM>
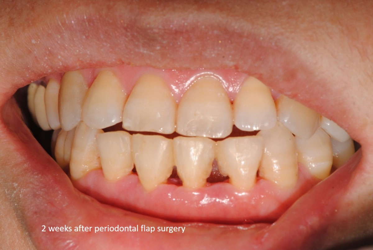
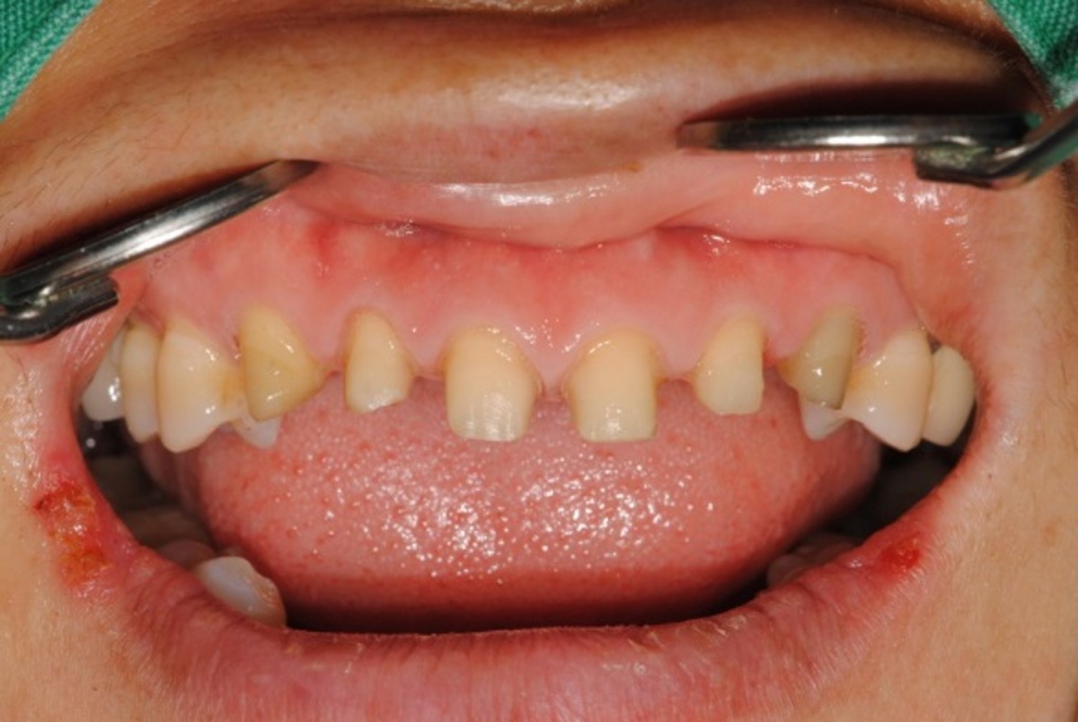
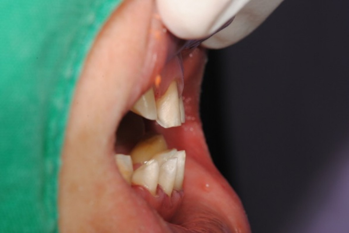
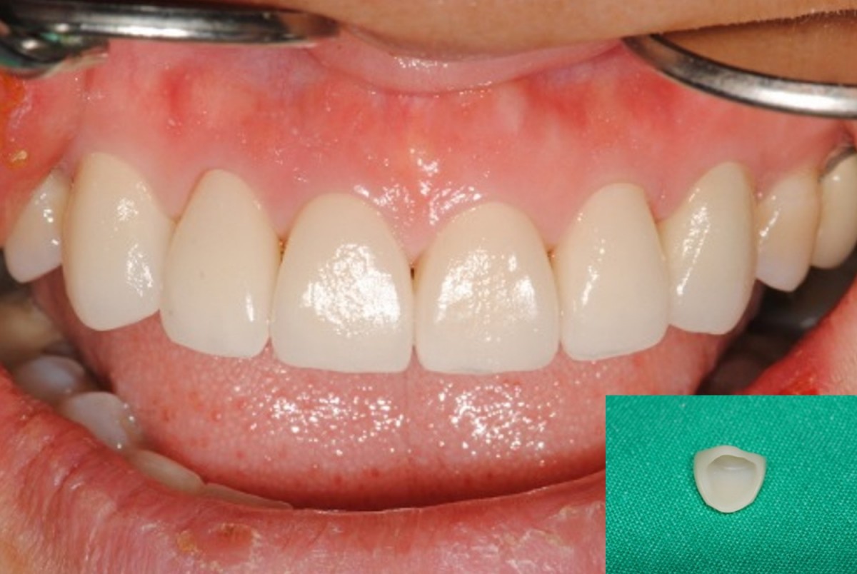
Aesthetic Restoration for the Anterior Crossbite Patient after Periodontal Treatment.
Aesthetic Restoration for the Anterior Crossbite Patient after Periodontal Treatment.











0
- PrevSIngle Implant - Immediate Placement, 8-year follow upSep, 19, 2025
- NextSingle implant (staged) Arum NB1, f/u Sep, 19, 2025
There are no registered comment.