Implantology
Dental Restoration
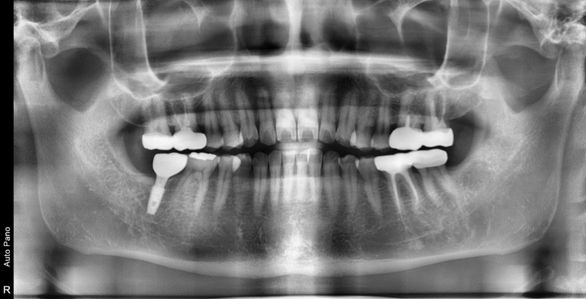
Single implant (staged) Arum NB1, f/u

HAPPYTOGETHER
Views : 174/ Sep, 17, 2025
Views : 174/ Sep, 17, 2025
<GC SSS>
A 47-year-old male patient had a crown with an ill-fitting margin and crack-tooth syndrome in the lower 2nd molar. No systemic issue.


























0
- PrevAesthetic Restoration for the Anterior Crossbite Patient.Sep, 17, 2025
- NextImmediate placement of an implant (Arum Dnetistry NB1, 5*8.5) Sep, 17, 2025
There are no registered comment.